Dental Implants
 If you have missing teeth, dental implants are a stable, long-lasting foundation for replacement teeth that look, feel and function like the real thing. Dr. Ian Fontenot has extensive experience in dental implant placement and restoration and offers both services at our dental offices in Carencro and Scott, LA.
If you have missing teeth, dental implants are a stable, long-lasting foundation for replacement teeth that look, feel and function like the real thing. Dr. Ian Fontenot has extensive experience in dental implant placement and restoration and offers both services at our dental offices in Carencro and Scott, LA.
What Is a Dental Implant
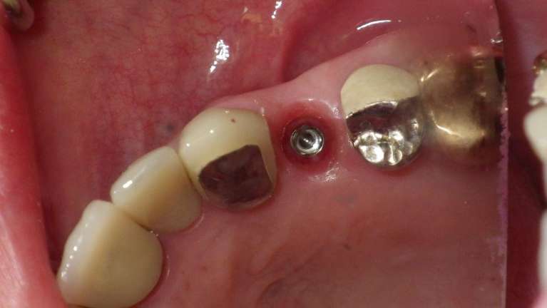
A dental implant is an artificial tooth root made of titanium that Dr. Fontenot places surgically into your jawbone. Since titanium is biocompatible, the implant fuses with the bone and tissue around it. This natural healing process is called osseointegration. After 3–6 months, the implant becomes part of your dental structure, just like the original tooth root.
Next, we attach the abutment to the implant, and the final step involves attaching realistic-looking implant teeth. Depending on the number of teeth, we may recommend a crown, bridge, or denture custom-crafted to closely match the shape, shade, and size of your natural teeth.
Dental Implant Benefits
The most noticeable improvement with dental implants is cosmetic. Knowing your smile looks and feels healthy boosts your self-esteem and helps you interact more confidently with others.
A dental implant also offers other benefits:
- Lasts a lifetime — Dental implants are durable and can last 20 years or longer when you care for them with excellent oral hygiene, routine exams, and teeth cleanings.
- Maintains jawbone health — The artificial tooth root stimulates the bone in your jaw to keep it strong and healthy. A healthy jawbone also helps fill out facial features and prevents an aged appearance.
- Preserves healthy tooth structure — A dental implant is a standalone tooth replacement that doesn’t require alteration of healthy teeth like a tooth-supported dental bridge.
- Improve speech and chewing — Replacing missing teeth helps you speak clearly, and because implants function like real teeth, you can easily chew all your favorite foods again.
Who Is a Good Dental Implant Candidate?
 Dr. Fontenot takes 3-D cone beam scans of your jaw to determine if you are a good implant candidate. If you don’t have enough bone mass in the area, he may recommend a grafting procedure to supplement the bone and make an implant possible.
Dr. Fontenot takes 3-D cone beam scans of your jaw to determine if you are a good implant candidate. If you don’t have enough bone mass in the area, he may recommend a grafting procedure to supplement the bone and make an implant possible.
Bone Grafting and Sinus Lifts
The goal of a bone graft is simple: Add new bone to the jaw to provide a solid foundation to place a dental implant.
A bone graft may be taken from your body or a donor, or synthetic material may be used. Dr. Fontenot performs bone grafting under local anesthetic, so you won't feel anything. As the graft heals, it increases the amount of bone in the area so you can get an implant.
We may recommend a sinus lift or augmentation if there’s not enough bone in the upper jaw to support a dental implant or if the sinuses are too close to the jawbone. A sinus lift involves placing new bone material in the area below the sinus cavity.
Schedule to Learn More about Dental Implants
Dr. Fontenot has studied dental implantology extensively and is highly qualified to perform the entire process, from placement to restoration. He would be happy to meet with you, evaluate your needs and see if you are a good candidate. Please call us at our Scott or Carencro dental office to schedule an appointment.
 
 
 
 
 
 
 
