Skip to main content
Fontenot Family Dentistry
Fontenot Family Dentistry- Carencro • (337) 565-2580
Fontenot Family Dentistry- Scott • (337) 345-5615
Fontenot Family Dentistry - Lafayette • (337) 981-9923
Fontenot Family Dentistry- Carencro Directions
Fontenot Family Dentistry- Scott Directions
Fontenot Family Dentistry - Lafayette Directions
Home
About
Our Team
Fontenot Family Dentistry- Carencro
Dr. Ian M. Fontenot
Dr. Patrick Roesch
Dr. Alyssa Magee
Dr. Laura Gerace
Fontenot Family Dentistry- Scott
Dr. Ian M. Fontenot
Dr. Sam Mullen
Dr. Reeves Texada
Fontenot Family Dentistry - Lafayette
Dr. Ian M. Fontenot
Dr Akia Davis
Dr. Neil Oza
Technology
Services
View All
Dental Exams & Cleanings
Dental Implants
Cosmetic Dentistry
Tooth Extraction
Dental Crowns & Bridges
Full & Partial Dentures
Emergency Dentistry
General Dentistry
All-on-4® Implants
Teeth Whitening
IV and Oral Sedation
Smile Gallery
Patient Info
View Patient Info
Forms
Financial
FAQs
Contact
View All
Fontenot Family Dentistry- Carencro
Fontenot Family Dentistry- Scott
Fontenot Family Dentistry - Lafayette
Fontenot Family Dentistry
Call Us
Like us on Facebook
Leave a Google Review
Instagram
(337) 565-2580
Fontenot Family Dentistry
>
Smile Gallery
>
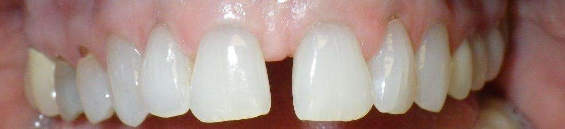
Invisalign
Invisalign
Return to Smile Gallery
Next
Click image to see a larger picture
Before
After
Ready to book an appointment?
Schedule Now
OK!
×
×
Contact Us Today
Give Us A Call
Fontenot Family Dentistry- Carencro -
(337) 565-2580
Fontenot Family Dentistry- Scott -
(337) 345-5615
Fontenot Family Dentistry - Lafayette -
(337) 981-9923
Send Us an Email
Which location?
Fontenot Family Dentistry- Carencro
Fontenot Family Dentistry- Scott
Fontenot Family Dentistry - Lafayette
Ready to Schedule an Appointment?
Book Now
Have Questions? Contact Us:
Required Field
Your Name:
Phone:
Email:
Are you a new patient?:
Are you a?
New Patient
Current Patient
How would you like us to contact you?
Please choose
Email
Call
How did you hear about us?
Please choose
I'm an existing patient
Google/Bing
Mailer
Word of mouth
Social media
Other
Who Referred You?:
Your Message:
This site is protected by reCAPTCHA and the Google
Privacy Policy
and
Terms of Service
apply.
Sending...
×
This Patient's Experience
Loading Testimonial...
Loading Case...